- Health Impact News - https://healthimpactnews.com -

Bone Strengthening Drugs Actually Cause Fractures

by Dr. Mercola [1]

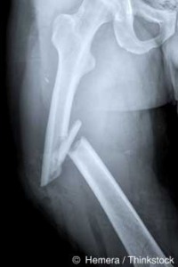
[1]Orthopedic surgeons and bone specialists have been seeing an increasing number of unusual fractures among long-term users of bisphosphonate bone-strengthening drugs such as Fosamax, Actonel, Boniva and Reclast.

The latest and largest study suggests that women who’ve been on bisphosphonates for more than five years have a nearly three times higher risk of these fractures. Since tens of millions of women take bisphosphonates, this suggests thousands of them may suffer devastating atypical fractures every year.

According to NPR:

“… [A] growing number of experts agree … that the risk of such fractures should discourage premature use of the drugs… [T]he take-home message is: Don’t start one of these drugs too early … [and[ don’t stay on one of these drugs longer than necessary.”

Sources:
NPR February 28, 2011
The Journal of American Medicine, March 2, 2011;305(8):783-789.

Dr. Mercola’s Comments:

For 15 years women have been able to take a class of drugs called biphosphonates, which are marketed directly to consumers as a so-called treatment for osteoporosis.

While the drugs do show some short-term effectiveness at preventing hip fractures in severe cases of osteoporosis, multiple studies are now beginning to point to the drugs causing some unusual bone problems in many older women.

Researchers state these unusual bone problems are rare, but with millions of more women beginning to reach the age when these drugs are commonly prescribed (as the baby boom generation turns grey), perhaps these rare effects are now in danger of becoming quite common.

I believe this is another classic illustration of the failed drug model.

Once again, this is an instance of pills being over-prescribed, mainly through the odious direct-to-consumer marketing, resulting in increasing unnecessary risks for the majority of people taking these drugs, and especially in people taking these drugs longer than five years.

Also, as so often happens with pharmaceutical drugs in the US, the FDA allows them to be sold on the market before they are actually proven to be safe!

Only later, when large-scale problems start to get reported in the media, are the drugs re-evaluated for safety, and often the new studies citing problems with drugs are done by a third-party unrelated to the drug manufacturers or the FDA (never by the FDA itself, because the FDA is loathe to interfere with its drug-company-client-partner profits).

This is part of the broken health care model currently in effect in the US, where the FDA sees its mission as rushing drugs to market [2] for maximum profits for corporations (it’s said drug companies lose one to two million dollars for every day that a drug is kept off the market!), instead of thoroughly evaluating a new drug or new class of drugs for safety in order to protect the public.

What are Biophosphonates and What Does the New Study Say about Them?

Loss of bone mass is one of the common signs of aging, because as you age your existing bone is absorbed by your body while new bone is created to replace it. But in the case of osteoporosis, the formation of new bone falls behind the rate of bone absorption, leading to weakened, thinner and more brittle bones.

A thinning hipbone is a major concern if you are elderly, because any fall increases the risk of a broken hip, which always carries a great risk of complications and usually requires prolonged specialized care for recovery. It’s estimated that 25% of elderly people suffering a hip fracture die as a direct result [3].

Biphosphonates are branded and marketed under these names:

  • Aredia
  • Fosamax
  • Bonivia
  • Actonel
  • Zometa and Aclasta

Non-nitrogenous versions that work through a different cellular mechanism are branded and sold under these names:

  • Didronel
  • Bonefos
  • Loron
  • Ostac
  • Skelid

All these different marketing names belong to the class known as biphosphonates. But these drugs may not be the magic bullet for thinning bones that the drug companies would lead you to believe.

The new study above found that women taking biphosphonates for five years or longer actually showed signs of having weaker femurs,

Taking this drug long-term you have about a three times greater risk of suffering a very unusual fracture either at the socket connecting the femur to the hip, or in the upper femur itself (which is usually the strongest part of the bone).

More Women Hurt than Helped by these Drugs

This means that for every woman gaining a benefit in their hips from taking a biphosphonate for a short-term, there are many more women out there in danger of weakening their femur bones as a result taking this class of drugs long-term.

The problem is, thanks to the drug companies’ multi-million dollar PR campaigns, many doctors AND the public today believe this class of drugs should be given even before bone density starts dropping, meaning the vast majority of women currently taking biphosphonates are beginning them too early, and staying on them too long.

Experts are beginning to agree that only women with documented osteoporosis should even consider taking these drugs, and not stay on them for a very long duration if they do use them.

But will the treatment of osteoporosis now change thanks to this new study and studies like it that have been appearing for the last few years [4]?

It’s not likely, because the drug companies usually let nothing stand in the way of their profits [5].

Although the FDA has already included a warning against long-term use on the label of these drugs [4], the direct-to-consumer marketing continues unabated, ensuring that many older women will show up at their doctor’s office demanding a prescription for the drug that they mistakenly believe will strengthen their bones with little risk of ill effects, since nothing in the advertisement mentions long-term risks [6]associated with biphosphonates.

Although the advertisement does mention (because they are forced to by law) some disturbing potential side effects, including:

  • Difficult or painful swallowing
  • Chest pain
  • Severe or continuing heartburn
  • Severe joint, bone or muscle pain

Other side effects, listed by WebMD include:

  • Heartburn, abdominal pain, and irritation of the esophagus
  • Headache and pain in muscles and joints
  • Constipation, diarrhea, and increased gas (flatulence)
  • Allergic reactions

Other Problems Associated with Biphosphonates

Some media reports have indicated that biphosphonates have been associated with osteonecrosis of the jaw (ONJ), also called “jaw death”. [7] ONJ occurs when your jawbone is weakened to the point that it “is no longer alive”, because unlike other bones in your body there is a limited supply of blood to the jaw, which is not sufficient to grow new bone.

And this class of drugs is reported to permanently weaken the jawbone, leading to a chronic, painful, and disastrous outcome. According to a study in The Journal of Endodontics [8]:

“There are an increasing number of reports of bisphosphonate-associated osteonecrosis of the jaws that have substantial implications for the patient and for the treating dentist.”

That is quite an understatement if you are no longer able to use your jaw to chew your food!

Another study involving cancer patients indicates that as many as 1 in 10 women taking biophosphonates will develop this jaw problem [9]. So, a potential 10 percent chance of having your jaw “die” as a result of taking this medication is clearly a cause for alarm if you don’t already have a fairly serious case of osteoporosis.

But that’s not all, another study has linked biphosphonates to an increased risk of erratic heart rhythms [10], called atrial fibrillation.

Also a 2010 study [11] suggests that the risk of oesophageal cancer increased with 10 or more prescriptions for oral bisphosphonates and with prescriptions over about a five-year period. This same study also cites research stating [12]:

“Adverse gastrointestinal effects are common among people who take oral bisphosphonates for the prevention and treatment of osteoporosis; they range from dyspepsia, nausea, and abdominal pain to erosive oesophagitis and oesophageal ulcers.”

How to Reduce your Risk of Osteoporosis

Prevention, once again, is a much preferable route than trying to “cure” osteoporosis symptoms with the drug companies’ offerings, so here are some top ways you can reduce your risk of having to deal with osteoporosis in the first place:

  • Optimize your vitamin D levels
  • Avoid processed foods and artificial sweeteners
  • Increase your Omega 3 intake
  • Increase your vitamin K2 intake
  • Get some exercise, including weight-bearing exercise like resistance training
  • Women should always maintain healthy levels of estrogen
  • Avoid steroidal drugs

I will discuss more information about each of these preventative factors below, one factor you do not see on this list is calcium supplementation, and I’ll tell you the reason why.

The Truth about Osteoporosis and Calcium Deficiency

I’m sure you’ve heard that the cause of osteoporosis and the key to its prevention revolve around calcium, right?

Unfortunately, nothing could be further from the truth.

Dr. Robert Thompson, M.D., wrote an entire book on this subject called, The Calcium Lie [13], which explains that bone is comprised of at least a dozen minerals and the exclusive focus on calcium supplementation is likely to worsen bone density and increase your risk of developing osteoporosis!

As mentioned in this previous article [14], Dr. Thompson recommends the use of unprocessed salt as a far healthier alternative to calcium supplementation.

I recommend using Himalayan salt [15] as it is an excellent way to feed your body the trace minerals it needs to function optimally.

Steer Clear of Steroids

According to a study done at Washington University School of Medicine in St. Louis [16], there is a strong link between osteoporosis and the use of steroids,” so says senior author Steven L. Teitelbaum, M.D., Messing Professor of Pathology and Immunology:

“High-dose cortisone is the second most common cause of osteoporosis, and we currently have no real treatment for this serious side effect. Given how frequently these drugs are used to treat many different conditions, that’s a major clinical problem.”

The conclusion of the study revealed that although the steroid cortisone appears to inhibit the ability of osteoclasts to dismantle old bones in genetically normal mice, the inability of the skeletal structure to renew itself may cause bones to weaken dramatically from aging and stress.

If you suffer from an autoimmune disease such as rheumatoid arthritis [17]asthma [18]multiple sclerosis [19] or chronic obstructive pulmonary disease [20], click on the links above for natural alternatives for healing.

On the other hand there is one steroid hormone that will likely help build bone and that is progesterone. Many pre and post-menopausalwomen are deficient in this important hormone. [21]

Other Foods that Lead to Bone Loss

Processed and fast foods are the worst stuff you can put into your body. In order for your body to function optimally, it needs the type of balanced diet that I suggest in the next section.

Processed foods such as potato chips, French fries, microwaveable “meals”, soda and candy contain very little nutrients and are chock full of undigestible fats and dangerous additives such as high fructose corn syrup [22]aspartame [23] and preservatives.

If you think switching from a mainly processed food diet to a healthy, nutritious one will be next to impossible, I’m here to tell you it’s easier than you think. In my previous article, I explain how to wean yourself off processed foods in 7 easy steps [24] and how to give your body what it’s really craving.

When cooking, I advise you to avoid most all omega-6 based oils such as corn, safflower or soy oil. These oils are loaded with highly processed, damaged omega 6 fats, which contribute to inflammation in your body.

Instead, I recommend using healthful olive- and coconut oils [25]. For more information, see my video on the health benefits of these oils [26].

Prevent Bone Loss with Appropriate Sunshine Exposure

The health benefits of vitamin D cannot be overstressed. An alarming number of people in the United States are vitamin D deficient, and vitamin D deficiency can lead to a host of health problems [27], including osteoporosis.

Despite what you may have heard, appropriate sunshine exposure is not bad for you. It is healthy and necessary. Just 15 to 20 minutes of sun exposure per day can make a dramatic improvement in your health, and appropriate sun exposure is the ideal way to maintain your vitamin D levels in the optimal range.

Alternatively, you can use a safe tanning bed to naturally increase your vitamin D..

However, if neither of those options are available to you, the next option is to take an oral vitamin D3 supplement. Typical adult doses for vitamin D range from 5000 to even 40,000 units per day, please consult with a holistic doctor to check your blood levels and help to determine an appropriate dose for you.

Keep in mind that it is very important to get your vitamin D levels checked by a qualified lab (I recommend LabCorp) to avoid under- or overdosing. An optimal blood level of vitamin D for a healthy adult is between 50-70 ng/ml.

Vitamin K2 is CRUCIAL in Preventing Osteoporosis

Vitamin K can be classified as either K1 or K2:

  • Vitamin K1: Found in green vegetables, K1 goes directly to your liver and helps you maintain a healthy blood clotting system. (This is the kind of K that infants need to help prevent a serious bleeding disorder.) It is also vitamin K1 that keeps your own blood vessels from calcifying, and helps your bones retain calcium and develop the right crystalline structure.
  • Vitamin K2: Bacteria produce this type of vitamin K. It is present in high quantities in your gut, but unfortunately is not absorbed from there and passes out in your stool. It is present in fermented foods, particularly cheese and the Japanese food natto, which is by far the richest source of K2.

How does vitamin K lead to bone health?

Osteocalcin is a protein produced by your osteoblasts (cells responsible for bone formation), and is utilized within the bone as an integral part of the bone-forming process. However, osteocalcin must be “carboxylated” before it can be effective. Vitamin K functions as a cofactor for the enzyme that catalyzes the carboxylation of osteocalcin.

Vitamin K2 has been found to be a far more effective “activator” of osteocalcin than K1 because your liver preferentially uses vitamin K1 to activate clotting factors, while most of your other tissues preferentially use K2.

Are You Getting Enough Vitamin K from Your Diet?

Eating lots of green vegetables will increase your vitamin K1 levels naturally, especially:

  • Kale
  • Spinach
  • Collard greens
  • Broccoli
  • Brussels sprouts

You can obtain all the K2 you’ll need (about 200 micrograms) by eating 15 grams of natto daily, which is half an ounce. However, natto is generally not pleasing to the Westerner’s palate, so the next best thing is a vitamin K2 supplement.

But remember, you must always take your vitamin K supplement with fat since it is fat-soluble and won’t be absorbed without it. You must use caution on the higher doses if you take anticoagulants, but if you are generally healthy and not on these types of medications, I suggest 150 mcg of K2 daily.

Fortunately, you don’t need to worry about overdosing on K2—people have been given a thousand-fold “overdose” over the course of three years, showing no adverse reactions (i.e., no increased clotting tendencies).

Exercise to Prevent Bone Loss

Remember that bone is living tissue that requires regular physical activity in order to renew and rebuild itself. Peak bone mass is achieved in adulthood and then begins a slow decline. Exercise is very important in maintaining healthy bone mass. Weight-bearing exercise is one of the most effective remedies against osteoporosis.

Your bones are actually very porous and soft, and as you get older, your bones can easily become less dense and hence, more brittle. Especially if you are inactive.

Resistance training can combat this effect because as you put more tension on your muscles it puts more pressure on your bones, which then respond by continuously creating fresh, new bone.

In addition, as you build more muscle, and make the muscle that you already have stronger, you also put more constant pressure on your bones.

A good weight bearing exercise to incorporate into your routine (depending on your current level of fitness, of course) is a walking lunge, as it helps build bone density in your hips, even without any additional weights.

One of the best ways to improve bone density is to use acceleration training equipment like the Power Plate, that I have recently discussed [28].

Osteoporosis in Men

Here is something about osteoporosis in men you may not have realized: Men over the age of 50 are at greater risk for developing osteoporosis than prostate cancer. Men develop this disease because of a condition called hypogonadism, which may lead to shrinking in height by several inches. Risk factors in men include:

  • Alcoholism
  • Obesity
  • Smoking
  • Gastrointestinal disorders
  • Sedentary lifestyle
  • Lack of sunlight exposure

Men with pre-existing conditions such as asthma, emphysema, Crohn’s disease, herniated disks, and autoimmune disease taking steroids such as prednisone or cortisone are increasing their risk of developing osteoporosis that much further.

The Surprising Link Between Alzheimer’s Disease and Bone Loss

As I mentioned in a previous article [29], low bone mass has a surprising connection to Alzheimer’s disease.

In the study, researchers recorded bone mass measurements for 987 men and women with an average age of 76 years. They then followed them for up to 13 years and tracked who developed Alzheimer’s or dementia.

Results showed that women with the lowest bone mass measurements were more than twice as likely to develop Alzheimer’s or dementia as women with stronger bones.

If a woman of 70 years of age has lower bone mass, it means her exposure to estrogen may not have been as high as it should. Therefore, it appears estrogen loss plays a critical role in the development of osteoporosis as well as Alzheimer’s disease.

Copyright Dr. Joseph Mercola, 2011. All Rights Reserved.

Read the Full Article Here: http://articles.mercola.com/sites/articles/archive/2011/03/15/bone-strengthening-drugs-actually-cause-fractures.aspx [1]